星空网络外围官网

洗牙对牙齿有伤害吗,洗牙的注意事项有哪些

发布时间:2020-07-26 09:39
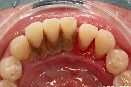
洗牙是现代人定期护牙洁牙方法,它能够将牙齿上的结石污垢去除下来,让牙齿变得更加健康,对预防蛀牙十分有效果。这些脏东西都是平时刷牙难以清除下来的,只有通过洗牙才能够彻底清除。...

   洗牙是现代人定期护牙洁牙方法,它能够将牙齿上的结石污垢去除下来,让牙齿变得更加健康,对预防蛀牙十分有效果。这些脏东西都是平时刷牙难以清除下来的,只有通过洗牙才能够彻底清除。洗牙会对牙齿健康产生副作用吗?洗牙需要注意什么事情?带你更了解有关洗牙的一切。

洗牙对牙齿有伤害吗,洗牙的注意事项有哪些

  洗牙对牙齿有伤害吗

   洗牙不会对牙齿产生伤害,现在洗牙所用的工作头是通过超声波来达到清理效果的。它可以轻松击碎牙石,却不会损伤牙釉质。很多人觉得在洗牙的过程中感觉到酸痛是牙齿受伤了,其实这是因为牙根暴露在外的牙周病所导致的。牙齿炎症会导致洗牙过程中有痛感,需要及时治疗。

   洗牙可以让牙齿更健康,远离牙齿问题。但是医生操作不当也是会导致牙齿受伤,比如停留太久留下划痕,这种划痕不明显,可以通过抛光在修复,所以洗牙也要选择正规的医院医生来操作。

洗牙对牙齿有伤害吗,洗牙的注意事项有哪些

  洗牙的注意事项

  一、禁忌人群

  全身心性疾病人群不适合洗牙,因为在洗牙的时候会出现出血,容易造成交叉感染。

  二、定期洗牙

   洗牙的频率不能过于频繁,一年洗牙一次就足够了。在洗牙之后也要注意日常护理,少吃会染色的食物,在吃甜食后要尽快漱口。

  三、恢复期

  洗牙齿后需要恢复期,时间在两周左右,这个时期不要吃酸冷刺激的食品,容易刺激到牙齿。

洗牙对牙齿有伤害吗,洗牙的注意事项有哪些

   洗牙和美白牙齿并不一样,洗牙虽然能够去除掉一些附着性色素,但是并不能让牙齿变白,健康的牙齿本来就是米黄色的。如果想要牙齿变白,那么最好还是选择做另外的项目。在做口腔项目之前,一定要询问好医生。

发表评论
请自觉遵守互联网相关的政策法规,严禁发布色情、暴力、反动的言论。
评价:
用户名: 验证码:点击我更换图片
免责声明:本文仅代表作者个人观点,与妈妈宝宝网无关。其原创性以及文中陈述文字和内容未经本站证实,对本文以及其中全部或者部分内容、文字的真实性、完整性、及时性本站不作任何保证或承诺,请读者仅作参考,并请自行核实相关内容。
  • 洗牙
  • 洗牙对牙齿有伤害吗
  • 洗牙对牙齿有伤害吗?洗牙的好处和坏处
    洗牙对牙齿有伤害吗?洗牙的好处和坏处
  • 洗牙的好处与坏处 洗牙多少钱一次能让牙齿变白吗
    洗牙的好处与坏处 洗牙多少钱一次能让牙齿变白吗
  • 洗牙能让牙齿变白吗 1次洗牙能改变什么要多少钱
    洗牙能让牙齿变白吗 1次洗牙能改变什么要多少钱
  • 洗牙对牙齿有伤害吗 三个和洗牙有关的小知识
    洗牙对牙齿有伤害吗 三个和洗牙有关的小知识
  • 洗牙对牙齿有伤害吗,洗牙的注意事项有哪些
    洗牙对牙齿有伤害吗,洗牙的注意事项有哪些
  • 洗牙
    洗牙
  • 洗牙对牙齿有伤害吗?洗牙的好处和坏处
    洗牙对牙齿有伤害吗?洗牙的好处和坏处
  • 洗牙对牙齿有伤害吗 三个和洗牙有关的小知识
    洗牙对牙齿有伤害吗 三个和洗牙有关的小知识
  • 洗牙对牙齿有伤害吗,洗牙的注意事项有哪些
    洗牙对牙齿有伤害吗,洗牙的注意事项有哪些
 靠谱盛凯国际(官方)网站/网页版登录入口/手机版登录入口-最新版(已更新) 188BET最新真人排名(官方)网站/网页版登录入口/手机版登录入口-最新版(已更新) 永利外围靠谱导航(官方)网站/网页版登录入口/手机版登录入口-最新版(已更新) PM娱乐城正规最大推荐(官方)网站/网页版登录入口/手机版登录入口-最新版(已更新) 雷火竞技真人滚球官方(官方)网站/网页版登录入口/手机版登录入口-最新版(已更新) 最大雷火竞技体育(官方)网站/网页版登录入口/手机版登录入口-最新版(已更新) 188BET正规足球(官方)网站/网页版登录入口/手机版登录入口-最新版(已更新) 盛凯国际最新现金(官方)网站/网页版登录入口/手机版登录入口-最新版(已更新)