星空网络外围官网

您的位置:星空网络外围官网 > 资讯 >

女性尿道旁囊肿的原因和护理方法

发布时间:2023-04-16 09:43
标签:
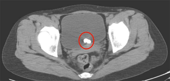
女性尿道旁囊肿,又称为Bartholin腺囊肿,是一种较为常见的妇科疾病。其主要原因是尿道旁腺出口被阻塞,导致腺内分泌物积聚形成囊肿。一些因素可能会导致Bartholin腺阻塞,如感染、损伤或其他疾病等。下面将介绍Bartholin腺囊肿的原因及护理方法。...
女性尿道旁囊肿,又称为Bartholin腺囊肿,是一种较为常见的妇科疾病。其主要原因是尿道旁腺出口被阻塞,导致腺内分泌物积聚形成囊肿。一些因素可能会导致Bartholin腺阻塞,如感染、损伤或其他疾病等。下面将介绍Bartholin腺囊肿的原因及护理方法。
  女性尿道旁囊肿的原因和护理方法
Bartholin腺囊肿的原因是感染引起的
当细菌入侵时,就会引起感染,促使腺体阻塞,导致囊肿形成。此外,长期使用避孕套、药物过敏、营养不良、身体免疫力下降等,也可能成为Bartholin腺囊肿的诱因。
护理是十分重要的
一旦出现疼痛、肿胀等症状,就应立即寻求医生的帮助。医生会通过身体检查和相关检测,确定其病因,并给予有效的治疗方案。
  女性尿道旁囊肿的原因和护理方法
护理方法
1.可以用温水浸泡患部,以减轻肿胀和疼痛。
2.避免性生活,以免引起严重的感染或囊肿复发。
3.保持良好的个人卫生习惯,勤换内裤,局部清洁干净,避免细菌感染。
康复需要时间,请患者耐心等待,按照医生的指导和药物治疗,同时要注意饮食营养,增强自身免疫力,以促进康复。
  女性尿道旁囊肿的原因和护理方法
Bartholin腺囊肿是可治疗的,但其护理过程需要耐心和细心的护理。建立良好的生活习惯,保持身体卫生,预防生殖器官疾病的发生,是非常重要的。
发表评论
请自觉遵守互联网相关的政策法规,严禁发布色情、暴力、反动的言论。
评价:
用户名: 验证码:点击我更换图片
免责声明:本文仅代表作者个人观点,与妈妈宝宝网无关。其原创性以及文中陈述文字和内容未经本站证实,对本文以及其中全部或者部分内容、文字的真实性、完整性、及时性本站不作任何保证或承诺,请读者仅作参考,并请自行核实相关内容。
 靠谱盛凯国际(官方)网站/网页版登录入口/手机版登录入口-最新版(已更新) 188BET最新真人排名(官方)网站/网页版登录入口/手机版登录入口-最新版(已更新) 永利外围靠谱导航(官方)网站/网页版登录入口/手机版登录入口-最新版(已更新) PM娱乐城正规最大推荐(官方)网站/网页版登录入口/手机版登录入口-最新版(已更新) 雷火竞技真人滚球官方(官方)网站/网页版登录入口/手机版登录入口-最新版(已更新) 最大雷火竞技体育(官方)网站/网页版登录入口/手机版登录入口-最新版(已更新) 188BET正规足球(官方)网站/网页版登录入口/手机版登录入口-最新版(已更新) 盛凯国际最新现金(官方)网站/网页版登录入口/手机版登录入口-最新版(已更新)