星空网络外围官网

您的位置:星空网络外围官网 > 资讯 >

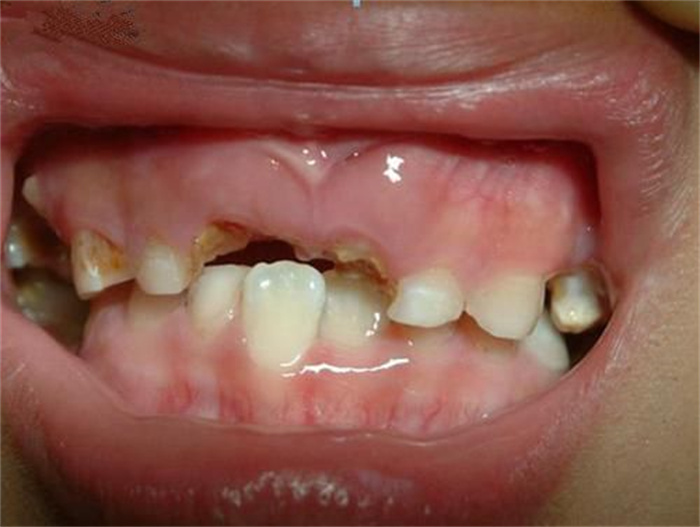
宝宝爱长龋齿 到底要不要用含氟牙膏

发布时间:2022-12-19 22:55
标签:
宝宝长牙齿之后,家长一定要关注自己孩子的牙齿问题,牙齿的健康对于宝宝来说非常的重要,尤其当宝宝长出龋齿时候,要给自己的宝宝按时的刷牙,在牙膏方面可以选择含氟牙膏,含氟的牙膏主要是来预防宝宝长龋齿情况出现,所以可以在宝宝长龋齿,给宝宝用含氟的牙膏。...
宝宝长牙齿之后,家长一定要关注自己孩子的牙齿问题,牙齿的健康对于宝宝来说非常的重要,尤其当宝宝长出龋齿时候,要给自己的宝宝按时的刷牙,在牙膏方面可以选择含氟牙膏,含氟的牙膏主要是来预防宝宝长龋齿情况出现,所以可以在宝宝长龋齿,给宝宝用含氟的牙膏。
宝宝爱长龋齿 到底要不要用含氟牙膏
含氟牙膏
使用含氟的牙膏主要是来预防宝宝长龋齿的情况出现,而且长牙之后宝宝吃的食物比较多,又复杂,一大宝宝的口腔卫生没有做好,会出现龋齿现象,含氟的牙膏当中的氧化物能够使宝宝的牙齿变得更加坚固,具有很好的预防效果,但是三岁以下的宝宝不能使用含氟牙膏,因为三岁以下的宝宝会容易出现吞咽的现象,否则会导致三岁以下的宝宝出现摄氟量过多。因此需要等到宝宝能够自主刷牙之后,使用含氟牙膏,帮助孩子建立良好的刷牙习惯。
宝宝爱长龋齿 到底要不要用含氟牙膏
正确的选择含氟牙膏
家长在给自己的孩子挑选含氟牙膏时,要正确的选择含氟牙膏,主要是在赤面当中,儿童的牙膏呈现多样化,每一款牙膏都会有不同的含氟量,家长要选择有少量的含氟量的牙膏给自己的宝宝使用,含氟量过高的牙膏会对人体造成伤害,不利于自己孩子正常的健康发展,在换牙膏时要对比每一款牙膏的含氟量,不能光关注牙膏的口味,要仔细的阅读牙膏上面的内容。
宝宝爱长龋齿 到底要不要用含氟牙膏
定期检查口腔
宝宝长牙之后,家长要带自己的孩子定期检查口腔,虽然可以使用含氟牙膏,但是要把握好牙膏的剂量,每一次孩子在刷牙时,大人都要监督自己的孩子,尽量不能让孩子出现吞牙膏的现象,用完牙膏之后及时漱口。
发表评论
请自觉遵守互联网相关的政策法规,严禁发布色情、暴力、反动的言论。
评价:
用户名: 验证码:点击我更换图片
免责声明:本文仅代表作者个人观点,与妈妈宝宝网无关。其原创性以及文中陈述文字和内容未经本站证实,对本文以及其中全部或者部分内容、文字的真实性、完整性、及时性本站不作任何保证或承诺,请读者仅作参考,并请自行核实相关内容。
 靠谱盛凯国际(官方)网站/网页版登录入口/手机版登录入口-最新版(已更新) 188BET最新真人排名(官方)网站/网页版登录入口/手机版登录入口-最新版(已更新) 永利外围靠谱导航(官方)网站/网页版登录入口/手机版登录入口-最新版(已更新) PM娱乐城正规最大推荐(官方)网站/网页版登录入口/手机版登录入口-最新版(已更新) 雷火竞技真人滚球官方(官方)网站/网页版登录入口/手机版登录入口-最新版(已更新) 最大雷火竞技体育(官方)网站/网页版登录入口/手机版登录入口-最新版(已更新) 188BET正规足球(官方)网站/网页版登录入口/手机版登录入口-最新版(已更新) 盛凯国际最新现金(官方)网站/网页版登录入口/手机版登录入口-最新版(已更新)